| Зарегистрироваться Войти |
РАЗМЕСТИТЬ:
|
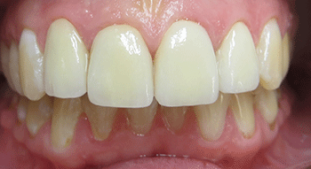
Когда речь заходит о протезировании, каждый человек мечтает не просто восстановить жевательную функцию, а сделать себе красивые и крепкие зубы. И керамические коронки e-Max в этом отношении являются лучшим решением поставленной задачи. В нашей клинике мы изготовим для Вас коронки безметалловой керамики по современной технологии CAD/CAM, которая позволяет получить непревзойденный эстетический и функциональный результат . Мы предлагаем также безметалловые коронки на диоксиде циркония, которые по свойствам и внешним качествам сопоставимы с цельнокерамическими конструкциями, такими как коронки eMax.

Керамические коронки e-max
Цельнокерамические коронки eMax делаются из специальных заготовок, основой которых является дисиликат лития (стеклокерамика). Керамические Коронки e-Max обладают чрезвычайной прочностью, очень красивы и, при этом, демонстрируют отличные функциональные качества, и их с легкостью можно установить на современные импланты Nobel Biocare. По технологии eMax можно делать не только коронки, но также вкладки и виниры.
Преимущества безметалловой керамики e-Max
Красота: коронка керамическая безметалловая выглядит чрезвычайно эффектно именно за счет отсутствия металла, который часто придает зубу сероватый оттенок. А умеренная прозрачность и естественное прилегание к десне коронок керамических безметалловых делает зубки максимально натуральными.
Уникальная совместимость с тканями полости рта – отличительная черта безметалловой керамики. Безметалловые коронки eMax и другие не вызывают отторжения, поэтому совершенно безопасны для аллергиков.
Широкий диапазон применения: можно установить безметалловые коронки на передние зубы и сделать Вашу улыбку просто роскошной, а можно на жевательные, что даст Вам возможность легко пережевывать любую пищу.
Отличные эксплуатационные характеристики, которые демонстрирует каждая безметалловая коронка на диоксиде циркония, гарантирует эстетическую и рабочую сохранность Ваших зубов не один десяток лет.
Долговечность, вряд ли Вы сможете как-то повредить безметалловую керамику по сравнению со многими другими видами коронок.
Недостатки коронок eMax
Единственным недостатком является, высокая себестоимость коронок. Нет необходимости выбирать коронки eMax всем подряд, потому что данный вид лечения, будет намного дороже чем остальное. Так же они не могут быть пригодны для всех, перед тем как устанавливать керамику E-max вам надо будет проконсультироваться со своим стоматологом или же прийти к нам в клинику, где Вас Бесплатно проконсультируют наши лучшие специалисты, чтобы узнать, подходит ли данное лечение, и будет ли это правильно для Вас.
Как происходит установка безметалловых коронок e-max
Возможно необходима небольшая подготовка, хотя это зависит от состояния ваших зубов и объема работы, который необходимо будет провести. Во многих случаях никакой подготовки не требуется и операция выполнятся из наименьшим количеством применением зубных препаратов
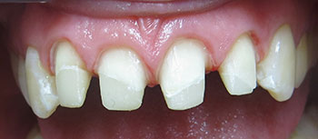
Установка начинается с экспертизы зуба, подлежащего лечению. Зуб очищается, а затем деформируется с помощью небольшого сверла. Идея заключается в том, чтобы улучшить форму зуба и его состояние так, что бы он был готов для подгонки коронки.
Небольшое количество вашего зуба удаляется с помощью сверла, хотя это зависит от степени повреждения. Чем сильнее болен зуб, тем больше его придется удалить. Но если у вас есть небольшие проблемы с зубами, то возможно вы не доведете их до такого состояния, что их придется полностью удалять.
Дальше происходит этап изготовления. По вашему прикусу в стоматологической лаборатории будет сделана коронка eMax.
Стоматолог сначала поставит вам временную коронку, которую вы будете носить в течение двух-трех недель, пока ваша новая коронка не готова. После того, как она будет готова, то вы вернетесь в стоматологическую клинику для завершения работы.
Ну все же достоинства безметалловых коронок неоспоримы, поэтому клиенты «Органик Дент» возле метро Шаболовская все чаще выбирают эту технологию протезирования зубов, и по нашим наблюдениям, именно на безметалловые коронки отзывы оставляют только положительные.
О керамических коронках.
Первые керамические коронки на циркониевом каркасе появились в 1994 году. Инновационная технология протезирования, созданная шведским дантистом Матсом Андерсоном и названная системой Procera, произвела на рынке стоматологических услуг настоящий фурор.
Сегодня керамические коронки на диоксиде циркония пользуются беспрецедентной популярностью, благодаря своей надежности, высокому профилю безопасности, уникальной биосовместимости и практически неограниченным эстетическим возможностям. По статистике, в мире уже установлено более полумиллиона коронок на циркониевом каркасе и интерес к данной технологии со стороны, как специалистов, так и пациентов неуклонно растет.
Преимущества коронок E-max:
непревзойденная прочность;
исключительная биосовместимость: за счет высокого физикохимического сходства с костной тканью керамические коронки на диоксиде циркония:
неизменность цвета независимо от времени пребывания циркониевых конструкций в полости рта;
противостояние бактериальной адгезии;
поистине роскошная эстетика наряду с естественностью.
Все вышеперечисленные достоинства позволяют утверждать, что для стоматологической практики диоксид циркония является выигрышным материалом, обладающим широкими возможности применения и безупречными эстетическими показателями.
Циркониевые вкладки.

Для восстановления анатомической формы зуба, разрушенного, например, кариесом, кроме как коронки, необходимо изготовление его внутренней части. Ее изготовление возможно из различных материалов, как из различных сплавов металла, так и изготовление вкладка из циркония (оксида циркония). В отличие от металлических вкладок, циркониевая вкладка изготавливается в лаборатории – методом оцифровки слепков (оттисков) по технологии CAD/CAM.

Вкладки из оксида циркония позволяют быстро восстанавливать анатомическую форму зубов, демонстрируя в результате высокие функциональные и эстетические показатели. Тогда как металлические конструкции могут вызывать изменение цвета мягких тканей, как посинение так и поднятие десны, аллергические реакции на металл, металлический привкус во рту, гальванические и токсические реакции (рис.3).
Стоимость безметалловых коронок e-max.
Сегодня на безметалловые коронки цены безусловно выше, чем на традиционные металлокерамические конструкции. И безметалловая коронка impress стоит дороже, чем коронка обычная. Но безметалловая керамика и служит в разы дольше, и выглядит полностью натурально. К тому же безметалловые коронки impress изготавливаются по новейшей технологии, что позволяет Вам сделать зубки быстро и с безупречным качеством.
| Разместил: | РРК Интернешнел |
| Источник: | Собственная информация |
| Учетная запись: | Архив медицинского портала Rosmed.ru |
| Дата: | 18.03.16 |
© 2002-2026 ROSMED.RU Медицинский b2b портал
Медицинский портал Rosmed.RU не несет ответственности за содержание информации оставленной рекламодателями и посетителями портала.
Все вопросы и предложения присылайте на адрес rosmed@rosmed.ru ICQ 108 995 521
Page load: 0.00298 sec